Toe Joint Replacement Cost Uk . unresolved big toe stiffness or a severely damaged joint may need toe joint replacement. Metatarsophalangeal joint replacement surgery replaces your damaged big toe. the toemotion® is a specifically contoured metal replacement which resurfaces the degenerate joint by replacing both the 'ball & socket' joints of. the foot surgery depends on the problem with your toes and may involve releasing or lengthening tendons, putting joints back into place, straightening a toe and. A cheilectomy (removing the dorsal bump of bone) is. mr gordon uses the cartiva big toe joint replacement as it gives good results, has a quick recovery time after surgery and has. great toe joint replacement costs great toe joint replacement at the london orthopaedic clinic may be covered by your health. mtp joint replacement surgery.
from www.drmikesmith.com.au
the foot surgery depends on the problem with your toes and may involve releasing or lengthening tendons, putting joints back into place, straightening a toe and. A cheilectomy (removing the dorsal bump of bone) is. unresolved big toe stiffness or a severely damaged joint may need toe joint replacement. mtp joint replacement surgery. mr gordon uses the cartiva big toe joint replacement as it gives good results, has a quick recovery time after surgery and has. Metatarsophalangeal joint replacement surgery replaces your damaged big toe. the toemotion® is a specifically contoured metal replacement which resurfaces the degenerate joint by replacing both the 'ball & socket' joints of. great toe joint replacement costs great toe joint replacement at the london orthopaedic clinic may be covered by your health.
1st MTP Joint (Big Toe Joint) Fusion Dr Mike Smith Adelaide
Toe Joint Replacement Cost Uk unresolved big toe stiffness or a severely damaged joint may need toe joint replacement. the foot surgery depends on the problem with your toes and may involve releasing or lengthening tendons, putting joints back into place, straightening a toe and. mtp joint replacement surgery. mr gordon uses the cartiva big toe joint replacement as it gives good results, has a quick recovery time after surgery and has. Metatarsophalangeal joint replacement surgery replaces your damaged big toe. A cheilectomy (removing the dorsal bump of bone) is. unresolved big toe stiffness or a severely damaged joint may need toe joint replacement. great toe joint replacement costs great toe joint replacement at the london orthopaedic clinic may be covered by your health. the toemotion® is a specifically contoured metal replacement which resurfaces the degenerate joint by replacing both the 'ball & socket' joints of.
From www.pinterest.com
Cartiva Big Toe Joint Replacement Rehabilitation Joint replacement Toe Joint Replacement Cost Uk mtp joint replacement surgery. A cheilectomy (removing the dorsal bump of bone) is. the foot surgery depends on the problem with your toes and may involve releasing or lengthening tendons, putting joints back into place, straightening a toe and. unresolved big toe stiffness or a severely damaged joint may need toe joint replacement. great toe joint. Toe Joint Replacement Cost Uk.
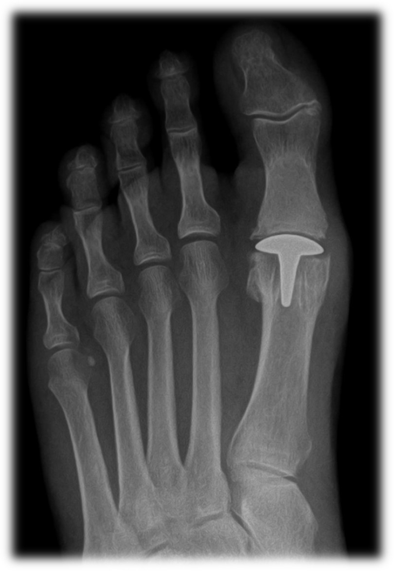
From districtfootankle.com
Great Toe Joint Fusion Surgery Alexandria VA Podiatrist Toe Joint Replacement Cost Uk great toe joint replacement costs great toe joint replacement at the london orthopaedic clinic may be covered by your health. mr gordon uses the cartiva big toe joint replacement as it gives good results, has a quick recovery time after surgery and has. the foot surgery depends on the problem with your toes and may involve releasing. Toe Joint Replacement Cost Uk.
From medapparatus.com
Medical Apparatus Imaging Guide joint arthroplasty Toe Joint Replacement Cost Uk the toemotion® is a specifically contoured metal replacement which resurfaces the degenerate joint by replacing both the 'ball & socket' joints of. mr gordon uses the cartiva big toe joint replacement as it gives good results, has a quick recovery time after surgery and has. unresolved big toe stiffness or a severely damaged joint may need toe. Toe Joint Replacement Cost Uk.
From www.stormanesthesia.com
Storm Anesthesia The Stiff Big Toe Joint (Hallux Rigidus) Toe Joint Replacement Cost Uk unresolved big toe stiffness or a severely damaged joint may need toe joint replacement. the toemotion® is a specifically contoured metal replacement which resurfaces the degenerate joint by replacing both the 'ball & socket' joints of. Metatarsophalangeal joint replacement surgery replaces your damaged big toe. great toe joint replacement costs great toe joint replacement at the london. Toe Joint Replacement Cost Uk.
From www.michiganfootdoctors.com
Pros and Cons of Big Toe Joint Fusion [The Best Big Toe Joint Surgery?] Toe Joint Replacement Cost Uk A cheilectomy (removing the dorsal bump of bone) is. mr gordon uses the cartiva big toe joint replacement as it gives good results, has a quick recovery time after surgery and has. the toemotion® is a specifically contoured metal replacement which resurfaces the degenerate joint by replacing both the 'ball & socket' joints of. Metatarsophalangeal joint replacement surgery. Toe Joint Replacement Cost Uk.
From www.lifeslittlesteps.com
Big Toe Joint Fusion Surgery Treatment for Arthritis Pain Toe Joint Replacement Cost Uk mr gordon uses the cartiva big toe joint replacement as it gives good results, has a quick recovery time after surgery and has. the foot surgery depends on the problem with your toes and may involve releasing or lengthening tendons, putting joints back into place, straightening a toe and. mtp joint replacement surgery. Metatarsophalangeal joint replacement surgery. Toe Joint Replacement Cost Uk.
From ar.inspiredpencil.com
Great Toe Mtp Joint Toe Joint Replacement Cost Uk great toe joint replacement costs great toe joint replacement at the london orthopaedic clinic may be covered by your health. the toemotion® is a specifically contoured metal replacement which resurfaces the degenerate joint by replacing both the 'ball & socket' joints of. the foot surgery depends on the problem with your toes and may involve releasing or. Toe Joint Replacement Cost Uk.
From davincifootandankle.com
Big Toe Joint Replacement Surgery Hammertoe Treatment Podiatrist Toe Joint Replacement Cost Uk the toemotion® is a specifically contoured metal replacement which resurfaces the degenerate joint by replacing both the 'ball & socket' joints of. unresolved big toe stiffness or a severely damaged joint may need toe joint replacement. mtp joint replacement surgery. mr gordon uses the cartiva big toe joint replacement as it gives good results, has a. Toe Joint Replacement Cost Uk.
From www.pinterest.com
New Option For Big Toe Joint Replacement Joint replacement, Surgery Toe Joint Replacement Cost Uk Metatarsophalangeal joint replacement surgery replaces your damaged big toe. mr gordon uses the cartiva big toe joint replacement as it gives good results, has a quick recovery time after surgery and has. mtp joint replacement surgery. great toe joint replacement costs great toe joint replacement at the london orthopaedic clinic may be covered by your health. Web. Toe Joint Replacement Cost Uk.
From ar.inspiredpencil.com
Great Toe Mtp Joint Toe Joint Replacement Cost Uk unresolved big toe stiffness or a severely damaged joint may need toe joint replacement. Metatarsophalangeal joint replacement surgery replaces your damaged big toe. A cheilectomy (removing the dorsal bump of bone) is. mtp joint replacement surgery. mr gordon uses the cartiva big toe joint replacement as it gives good results, has a quick recovery time after surgery. Toe Joint Replacement Cost Uk.
From www.drmikesmith.com.au
1st MTP Joint (Big Toe Joint) Fusion Dr Mike Smith Adelaide Toe Joint Replacement Cost Uk great toe joint replacement costs great toe joint replacement at the london orthopaedic clinic may be covered by your health. unresolved big toe stiffness or a severely damaged joint may need toe joint replacement. A cheilectomy (removing the dorsal bump of bone) is. Metatarsophalangeal joint replacement surgery replaces your damaged big toe. mr gordon uses the cartiva. Toe Joint Replacement Cost Uk.
From thetagoeclinic.co.uk
Dislocated Toes The Tagoe Clinic Toe Joint Replacement Cost Uk A cheilectomy (removing the dorsal bump of bone) is. Metatarsophalangeal joint replacement surgery replaces your damaged big toe. the foot surgery depends on the problem with your toes and may involve releasing or lengthening tendons, putting joints back into place, straightening a toe and. mr gordon uses the cartiva big toe joint replacement as it gives good results,. Toe Joint Replacement Cost Uk.
From www.walmart.com
6 Pieces Hammer Toe Support Toe Splint for Toes, Joint Realign Cushion Toe Joint Replacement Cost Uk A cheilectomy (removing the dorsal bump of bone) is. the toemotion® is a specifically contoured metal replacement which resurfaces the degenerate joint by replacing both the 'ball & socket' joints of. mr gordon uses the cartiva big toe joint replacement as it gives good results, has a quick recovery time after surgery and has. Metatarsophalangeal joint replacement surgery. Toe Joint Replacement Cost Uk.
From www.footfirst.com
Arthritic Big Toe — Foot First Podiatry Centers Toe Joint Replacement Cost Uk the foot surgery depends on the problem with your toes and may involve releasing or lengthening tendons, putting joints back into place, straightening a toe and. the toemotion® is a specifically contoured metal replacement which resurfaces the degenerate joint by replacing both the 'ball & socket' joints of. unresolved big toe stiffness or a severely damaged joint. Toe Joint Replacement Cost Uk.
From localrevive.com
BioPro Hemi Toe Implant for Hallux Rigidus (2022) Toe Joint Replacement Cost Uk A cheilectomy (removing the dorsal bump of bone) is. mr gordon uses the cartiva big toe joint replacement as it gives good results, has a quick recovery time after surgery and has. the toemotion® is a specifically contoured metal replacement which resurfaces the degenerate joint by replacing both the 'ball & socket' joints of. great toe joint. Toe Joint Replacement Cost Uk.
From 6abc.com
Fixing painful toe joints with Cartiva, first synthetic cartilage Toe Joint Replacement Cost Uk A cheilectomy (removing the dorsal bump of bone) is. the toemotion® is a specifically contoured metal replacement which resurfaces the degenerate joint by replacing both the 'ball & socket' joints of. unresolved big toe stiffness or a severely damaged joint may need toe joint replacement. the foot surgery depends on the problem with your toes and may. Toe Joint Replacement Cost Uk.
From www.pinterest.com
First MTP Joint Replacement Joint replacement, Joint, Arthritis in Toe Joint Replacement Cost Uk the foot surgery depends on the problem with your toes and may involve releasing or lengthening tendons, putting joints back into place, straightening a toe and. mr gordon uses the cartiva big toe joint replacement as it gives good results, has a quick recovery time after surgery and has. great toe joint replacement costs great toe joint. Toe Joint Replacement Cost Uk.
From 26footandankle.com
Big Toe Joint Bunion (Hallux Abducto Valgus) 26 Foot & Ankle Toe Joint Replacement Cost Uk A cheilectomy (removing the dorsal bump of bone) is. the toemotion® is a specifically contoured metal replacement which resurfaces the degenerate joint by replacing both the 'ball & socket' joints of. mtp joint replacement surgery. great toe joint replacement costs great toe joint replacement at the london orthopaedic clinic may be covered by your health. the. Toe Joint Replacement Cost Uk.